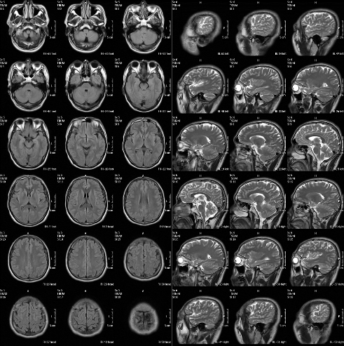
MRI(核磁)头部影像图
方案介绍
MRI(核磁)头部影像图是一种通过磁共振成像技术获得的头部图像,它利用磁场和射频脉冲使人体组织中的氢质子发生共振,进而产生信号,通过计算机处理这些信号生成图像。MRI头部影像图在医学诊断中具有重要地位,特别是在颅脑疾病的诊断中发挥着关键作用。
CT影像图
方案介绍
CT影像图,即计算机断层扫描(Computed Tomography,CT)图像,是一种通过X射线对人体进行断层扫描后,经过计算机处理得到的图像。这种图像具有高密度分辨率和密度量化的特点,能够清晰显示人体内部的结构和病变情况。
DR影像图
方案介绍
DR影像图具有以下特点:
高分辨率:DR技术相比传统X线摄影具有更高的分辨率,能够更清晰地显示肺部细微结构。
数字化成像:图像以数字形式存储和传输,便于保存、打印和远程会诊。
动态范围宽:能够同时显示高密度和低密度的组织,如骨骼和肺部。
后处理功能强大:可对图像进行增强、放大、缩小等处理,提高诊断准确性。
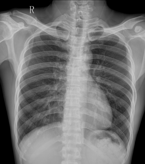
DR胸部影像图
方案介绍
DR胸部影像图,即胸部数字化X线摄影(Digital Radiography,简称DR)图像,是医学影像学中常用的一种检查手段,用于评估胸部结构、诊断肺部及胸腔疾病等。
超声报告
方案介绍
超声报告是医生根据超声检测结果所做的一份详细记录,它包含了患者的身体状况和可能的疾病信息。
超声影像图
方案介绍
无创、无辐射:超声影像图检查不会对人体造成任何损伤,适用于各个年龄段和孕妇等特殊人群。
操作简便、成本低廉:超声检查操作相对简单,成本较低,可以在临床实践中广泛应用。
高分辨率:超声对人体软组织有良好的分辨能力,有利于识别生物组织的微小病变。
实时性:超声检查常常能提供实时的图像信息,使医生能够快速准确地进行诊断。

地址:无锡市新吴区无锡中关村软件园40号楼(D7)-2号楼205室
邮箱:352190038@qq.com
网址:http://www.wxyunc.com/